Aluminum Sample Preparation
A comprehensive guide to preparing aluminum samples for metallographic analysis, covering sectioning, mounting, grinding, polishing, and etching techniques.
Introduction
Aluminum and its alloys are among the most commonly analyzed materials in metallography. Common alloys include 6061 (the most widely used aluminum alloy),7075 (high-strength aerospace alloy), and many others. Proper preparation is essential to reveal the true microstructure without introducing artifacts such as deformation, scratches, or contamination. This guide will walk you through the complete preparation process.
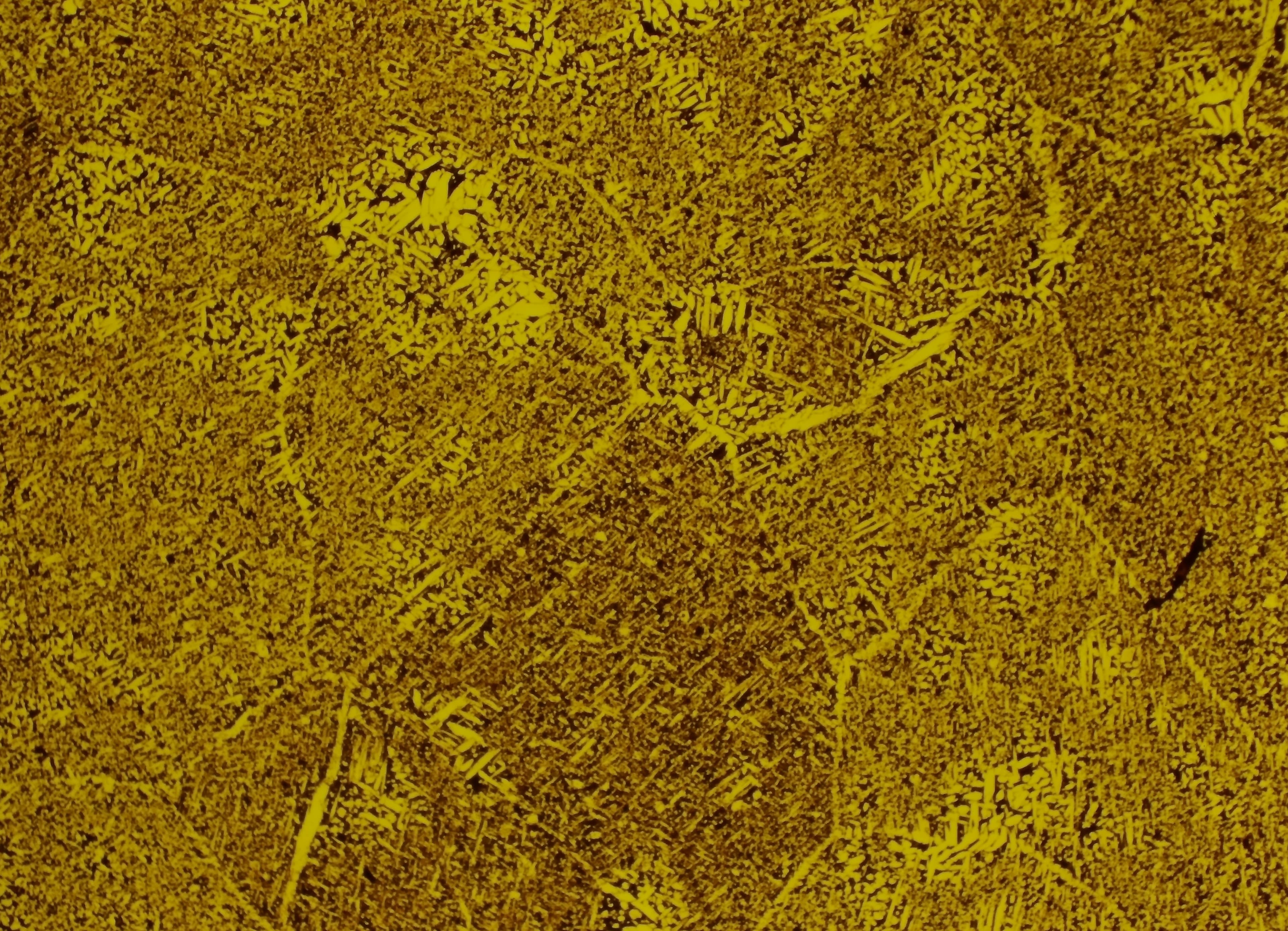
Aluminum-silicon alloy, Keller's reagent, 400X magnification. This image demonstrates the proper microstructure revealed through correct preparation techniques.
Aluminum can be challenging due to its softness and tendency to deform easily. The key is to use appropriate abrasives, maintain light pressure, and avoid over-polishing which can introduce relief and smearing.
Sectioning
When sectioning aluminum samples, use a slow cutting speed to minimize heat generation and deformation. A cutting speed of 100-200 RPM is typically appropriate for most aluminum alloys. Softer alloys like 6061 require particularly careful handling to prevent deformation, while harder alloys such as7075 can tolerate slightly higher cutting speeds. Aluminum's softness requires careful handling to prevent deformation.
- Use MAX-E series blades (designed for soft non-ferrous materials like aluminum)
- Use a thin abrasive cut-off wheel (0.5-1.0 mm thickness)
- Apply steady, light pressure to avoid deformation
- Use adequate coolant to prevent overheating and smearing
- Allow the wheel to do the cutting - avoid forcing
- Consider using a slower feed rate than for harder materials
Example Products: MAX-E Abrasive BladesMAX-E series blades specifically designed for soft non-ferrous materials like aluminum
For purchasing options and product specifications, see commercial supplier website.
Mounting
Mounting provides edge retention and easier handling. For aluminum, compression mounting with phenolic or epoxy resins works well. Cold mounting with epoxy is also suitable and avoids potential heat-related issues.
Compression Mounting
- Clean the sample thoroughly to remove cutting fluid and debris
- Place sample in mounting press with appropriate resin
- Apply pressure: 3000-4000 psi for phenolic, 2000-3000 psi for epoxy
- Heat to 150-180°C and hold for 5-8 minutes
- Cool under pressure to room temperature
Cold Mounting
- Clean and dry the sample
- Place in mounting cup with epoxy resin
- Allow to cure at room temperature (typically 4-8 hours)
- Cold mounting avoids heat that could affect aluminum microstructure
Example Products: Compression Mounting EquipmentAutomatic and manual mounting presses for consistent results
For purchasing options and product specifications, see commercial supplier website.
Grinding
Grinding removes sectioning damage and prepares the surface for polishing. Start with coarse grits and progressively move to finer grits. For aluminum, use lighter pressure than for harder materials to avoid deformation. We recommend the following sequence:
Grinding Sequence
- 120 grit: Remove sectioning damage (20-40 seconds per step)
- 240 grit: Remove previous scratches (20-40 seconds)
- 400 grit: Further refinement (20-40 seconds)
- 600 grit: Final grinding step (20-40 seconds)
Important: Rotate the sample 90° between each grit to ensure complete removal of previous scratches. Use water as a lubricant and maintain light pressure to avoid deformation. Softer alloys like 6061 require even lighter pressure and shorter grinding times, while precipitation-hardened alloys like 7075 may need slightly longer times per step. Aluminum requires less time per step than harder materials.
Example Products: Silicon Carbide Grinding Papersappropriate SiC papers in all grit sizes for consistent grinding
For purchasing options and product specifications, see commercial supplier website.
Polishing
Polishing removes grinding scratches and prepares a mirror-like surface. For aluminum, diamond polishing followed by oxide polishing typically yields excellent results. Use softer cloths and lighter pressure to avoid smearing and relief.
Diamond Polishing
- 9 μm diamond: 2-3 minutes on a medium-soft cloth (e.g., Microcloth)
- 3 μm diamond: 2-3 minutes on a soft cloth
- 1 μm diamond: 1-2 minutes on a soft cloth
Final Polishing
- 0.05 μm colloidal silica: 30-60 seconds on a soft cloth
- Rinse thoroughly with water and dry with compressed air
Important: Use lighter pressure than for steel. Over-polishing can introduce relief around second phases and inclusions. Monitor the surface frequently to avoid smearing, which is common with soft materials like aluminum. This is especially critical for softer alloys such as 6061, while higher-strength alloys like 7075are slightly more forgiving but still require careful pressure control.
Example Products: Diamond Abrasivessuitable diamond polishing compounds in various particle sizes
For purchasing options and product specifications, see commercial supplier website.
Example Products: Polishing Padsappropriate polishing pads for different polishing stages
For purchasing options and product specifications, see commercial supplier website.
Etching
Etching reveals the microstructure by selectively attacking grain boundaries and phases. The choice of etchant depends on the aluminum alloy and what features you want to reveal. For common alloys like 6061 and7075, Keller's reagent is typically the first choice. Common etchants include Keller's reagent, Weck's reagent, and various electrolytic solutions.
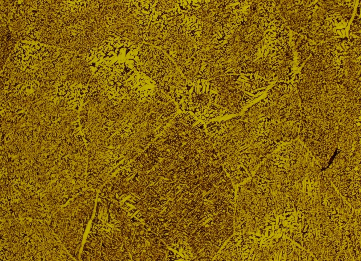
Aluminum-silicon alloy etched with Keller's reagent, 400X magnification. Proper etching reveals grain boundaries and phase structure without over-etching artifacts.
Common Etchants for Aluminum
- Keller's Reagent: General purpose, reveals grain boundaries and second phases (1% HF, 1.5% HCl, 2.5% HNO₃, 95% H₂O)
- Weck's Reagent: For revealing grain boundaries (4g NaOH, 4g KMnO₄, 100ml H₂O)
- Barker's Reagent: Electrolytic etching for anodizing (20ml HBF₄, 200ml H₂O)
- Graff & Sargent's Reagent: For age-hardened alloys
Etching Procedure
- Ensure sample is clean and dry
- Apply etchant with cotton swab or immerse sample
- Etch for 5-30 seconds (time varies by etchant and alloy)
- Immediately rinse with water, then alcohol
- Dry with compressed air
Tip: Start with shorter etching times (5-10 seconds) and increase if needed. Over-etching can obscure fine details and create pitting. For electrolytic etching, use appropriate voltage and time settings.
Example Products: EtchantsPre-mixed and custom etching solutions for aluminum
For purchasing options and product specifications, see commercial supplier website.
Troubleshooting
Common Issues and Solutions
- Scratches remaining: Insufficient grinding/polishing time or skipped grits. Ensure complete scratch removal at each step.
- Smearing: Too much pressure or too hard a cloth. Use softer cloths and lighter pressure.
- Relief around second phases: Over-polishing or too soft a cloth. Reduce polishing time or use slightly harder cloth.
- Contamination: Clean between steps, use fresh abrasives, and ensure proper sample cleaning.
- Deformation: Too much pressure during grinding or polishing. Use lighter pressure throughout.
- Over-etching: Reduce etching time or dilute etchant. Start with shorter times.
- Pitting after etching: Etchant too strong or etching time too long. Dilute etchant or reduce time.
Explore More Procedures
Browse our comprehensive procedure guides for material-specific preparation methods and get personalized recommendations.




